


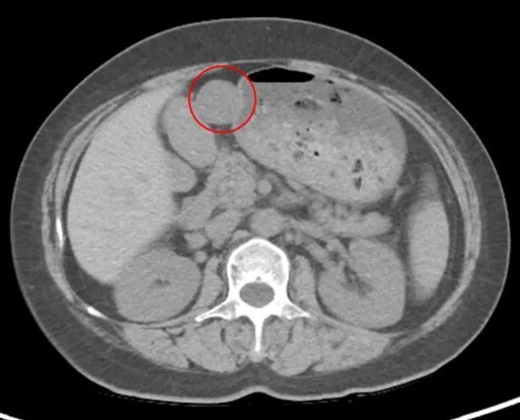
最近,冯阿姨总感觉胃不舒服,于是,在医生的建议下做了一个胃镜,突然发现胃里长了个小东西(如下图),随后,在熟人的介绍下,冯阿姨在家人的陪同下来河南省肿瘤医院普外科就诊,顺利完成手术,术后病理证实为胃肠间质瘤。


(左)胃镜显示粘膜完整,呈隆起型病变
(右)CT显示胃壁长出来的圆形肿物
有人不禁会问,胃肠间质瘤是个什么病?和胃癌、肠癌有什么区别吗?严不严重?
7月13日是全球胃肠间质瘤关爱日。小编邀请河南省肿瘤医院普外科、肿瘤内科专家,一起为大家详细解读这个“小瘤种”。
什么是胃肠间质瘤?
普外科主任医师万相斌介绍,胃肠间质瘤不是胃癌、肠癌,它是一种起源于胃肠道间叶组织的肿瘤,可以发生在消化道的任何部位,以胃和小肠最为常见。

胃肠间质瘤只占消化道肿瘤的约1%-3%,但由于我国人口基数大,患者总体数量仍不可小觑。国内每年约有3万新发病例。
胃肠间质瘤的最大特点就是不易被察觉,患者在初期时往往没有任何症状。随着肿瘤变大,患者会出现恶心、呕吐、消化道出血、腹部疼痛的症状,但这些症状并不是胃肠间质瘤所特有的,因此很难引起重视。
由于发病部位在腹腔,加之早期症状不明显,很多患者是在肿瘤长到很大、摸到才发现。据统计,约20%的病例在确诊时已处于晚期阶段。
那么,胃肠间质瘤是良性还是恶性?
普外科主治医师杜记涛介绍,准确来说,胃肠间质瘤是一种具有恶性潜能的肿瘤。临床上根据肿瘤大小、原发部位和病理报告中的核分裂像计数,用“极低危”“低危”“中危”“高危”来评估胃肠间质瘤的危险度。危险度越高,复发风险越大。像冯阿姨这个病例,由于发现较早,肿瘤较小,核分裂较低,属于低危患者,术后无需其他治疗,仅行随访即可。
确诊不必惊慌 两种治疗手段
由于对化疗和放疗不敏感,胃肠间质瘤主要的治疗手段有两种:手术切除和靶向药物治疗。
手术主要针对早期病人,通过完整切除肿瘤实现根治。肿瘤内科主任医师陈小兵介绍,约80%的胃肠间质瘤患者携带KIT基因突变,约10%的患者携带PGDFRA基因突变,针对这两个基因的靶向治疗是胃肠间质瘤的重要治疗手段。靶向治疗适用于以下情况:
01
原发可切除胃肠间质瘤术后评估为中-高危;
02
活检病理证实为胃肠间质瘤,不能手术;
03
活检病理证实为胃肠间质瘤,术前拟行靶向治疗;
04
复发性和转移性胃肠间质瘤。
肿瘤内科主治医师聂彩云介绍,根据中国临床肿瘤学会(CSCO)指南推荐,初诊胃肠间质瘤患者需要进行分子基因检测,以制定合理的靶向治疗方案。继发耐药的患者需要进行再次检测,明确耐药机制。目前我国获批的胃肠间质瘤适应证的靶向药有5个:一线的伊马替尼、二线的舒尼替尼、三线的瑞戈非尼、四线的瑞派替尼、针对D842V突变的阿伐替尼。
胃肠间质瘤患者治疗期间建议多吃高蛋白、富含铁及维生素的食物提高自身抵抗力,少吃多餐,勿暴饮暴食,戒烟酒,应注意避免进食葡萄柚或饮用葡萄柚汁,保持乐观心态,树立信心,定期检查。
确诊不必悲观 专家:可以治愈
很多患者关心:胃肠间质瘤能治好吗?

对此,河南省肿瘤医院专家说,无需悲观,胃肠间质瘤的治疗效果在实体瘤中属于比较好的。
万相斌说,如果是可切除的胃肠间质瘤,患者根据病理结果被判断为术后复发风险极低,基本可以被治愈,能像正常人一样工作生活。
陈小兵说,即使是晚期患者,总体治疗效果也比晚期胃癌或肠癌要好。晚期患者包括两类:一是首次诊断被认定为无法手术或者已经发生转移的患者,二是肿瘤切除后再次出现复发的患者,这部分患者除了靶向药物综合治疗之外,还需要长期随访。从目前的治疗效果来看,这部分患者的中位生存时间已经从1.5年提高到5年以上,甚至20%的患者可以生存超过10年,处于“带瘤生存”的状态。
确诊胃肠间质瘤后,建议患者到专科医院接受诊疗,能让患者获得更加精准的诊断和规范化治疗,医生将对胃肠间质瘤患者实现全程管理,更有利于提高患者的生活与生存质量。
在以往,胃肠间质瘤还是一种致死率极高的恶性肿瘤,而现在通过规范化治疗,越来越多的人已经把它看成一种慢性病。即便是晚期发现较大的肿瘤,患者也应抱有信心,配合医生积极治疗。
受访专家

陈小兵
肿瘤内科副主任,主任医师,教授,博士,博士生导师,博士后合作导师,国务院特殊津贴专家,中国抗癌协会第九届理事会理事,河南省首席科普专家,河南省学术技术带头人,河南省卫生科技领军人才,中国抗癌协会肿瘤运动康复、整合肿瘤肾脏病学专委会副主委,中国抗癌协会整合肿瘤学分会、肿瘤整体评估专委会常委,中华医学会肿瘤学分会胰腺肿瘤、支持康复治疗学组委员,中国临床肿瘤学会患者教育专委会常委,中国老年医学学会肿瘤学分会常委、中国科协2017“十大科学传播人物”, 中华慈善总会格列卫援助项目注册医生。
坐诊时间:周一上午 周四下午

万相斌
普外科主任医师,博士,硕士生导师,中国医师协会微无创专业委员会委员,中国医师协会大肠肛门疾病分会委员,河南省研究型医院学会胃肠肿瘤外科专业委员会常委,河南省抗癌协会大肠癌专业委员会委员,河南省抗癌协会胃癌专业委员会委员,河南省抗癌协会微创专业委员会委员,河南省抗癌协会肠内肠外营养专业委员会委员,中华慈善总会格列卫援助项目注册医生。擅长胃癌、结直肠癌的腹腔镜微创治疗及综合治疗,胃肠道间质瘤的诊断和治疗。获河南省科学技术进步叁等奖1项、河南省医学科学技术进步奖一等奖1项,河南省医学科学技术进步奖三等奖1项,河南省医学新技术引进奖三等奖1项、发表国家级及核心期刊论文10余篇,SCI收录论文1篇。
坐诊时间:周四上午

杜记涛
普外科主治医师,河南省抗癌协会康复专业委员会青年委员,河南省科学保健学会肿瘤专业委员会委员。获2014年河南省首届腹腔镜胃肠手术视频比赛二等奖,2016年河南省第三届腹腔镜胃肠手术视频比赛一等奖,2017获“大中华结直肠腔镜外科学院达人赛”优秀奖,2020年河南省肿瘤医院“十佳菁英医师”。擅长胃癌、结直肠癌的腹腔镜下根治手术、术前新辅助治疗及术后辅助治疗;胃肠道间质瘤、神经内分泌肿瘤等的治疗。

聂彩云
肿瘤内科主治医师,博士,中国医疗保健国际交流促进会消化道肿瘤MDT分会委员,河南省生命关怀协会肿瘤防治康复科普专业委员会常委,河南省生命关怀协会女性肿瘤防治及健康关怀科普专业委员会常委。研究方向为消化道肿瘤基础与临床研究,擅长食管癌、胃癌、胃肠间质瘤、结直肠癌、肝癌、胰腺癌等消化道肿瘤的内科综合治疗,主持河南省医学科技攻关课题1项,获“星希望结直肠癌诊疗新思路病例大赛”全国总决赛优秀诊疗思路奖、第一届肿瘤精准医疗案例大赛全国总决赛二等奖、“达医生—例达巅峰”鲁豫皖浙大区赛一等奖、2019-2020年度省直青年岗位能手荣誉称号等荣誉。第一作者发表SCI论文8篇。